Dr. Robert Young‘s recent paper, showing detailed analysis of both the blood and the vaccines, is very technical but well worth the effort. In sum, graphene oxide has been found in all four vaccines. In addition, Trypanosoma cruzi Parasites have been found in the Pfizer vaccine, which are composed of carbon, oxygen chromium, sulphur, aluminum, chloride and nitrogen.
The nanoparticulate components of all vaccines make for very interesting and disturbing reading, as do those components that create magnetic effects in the body. A question we are left with is, what is the additional effect on all this if we add environmental radiation into the mix? After all, graphene oxide is an extremely conductive substance, very responsive to electromagnetic radiation. Young’s work also includes analysis of the blood of the vaccinated.
Taken together, the ‘vaccine’ components, which include reduced graphene oxide among many others, and which may be influenced by radiation sources external to us, create a toxic chemical and radiative soup inside our bodies.
The ‘vaccines’ are certainly ‘NOT vaccines but nanotechnological drugs working as a genetic therapy.’
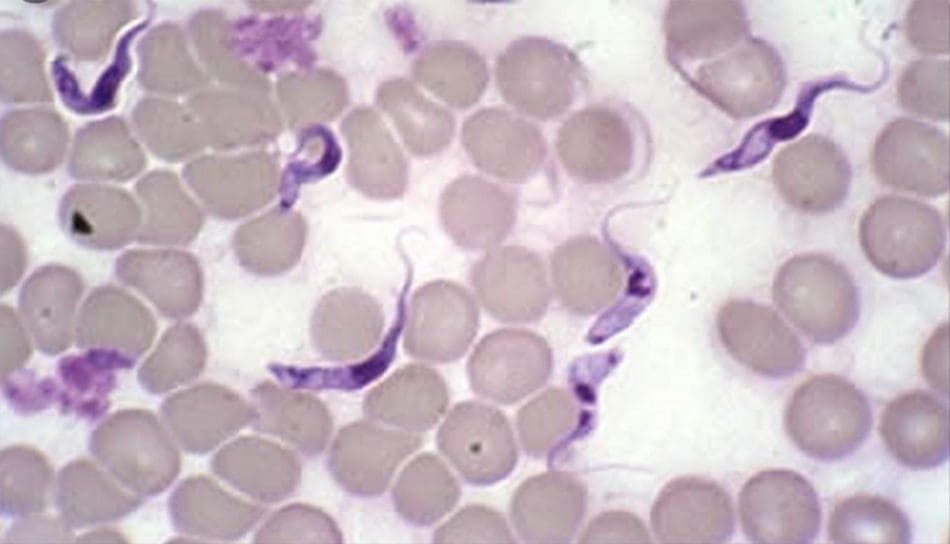
Are There Parasites in the Pfizer “Vaccines”?
A 50 micron elongated body, as seen in Figure 13 is a sharp mysterious presence in the Pfizer vaccine. It appears and is identified anatomically as a Trypanosoma cruzi parasite of which several variants are lethal and is one of many causes of acquired immune deficiency syndrome or AIDS. [Atlas of Human Parasitology, 4th Edition, Lawrence Ash and Thomas Orithel, pages 174 to 178][9][83]
Figures 22 and 23 shows an organic-inorganic aggregate identified in the Janssen “vaccine”. The particles are composed of stainless steel and are glued together with a “Carbon-based glue” of reduced graphene oxide.[11] This aggregate is highly magnetic and can trigger pathological blood coagulation and “The Corona Effect” or “The Spike Protein Effect” creation from the degeneration of the cell membrane due to interactions with other dipoles.[11] You can view these biological reactions or cellular transformations in the live blood under pHase Contrast and Dark Field Microscopy in Figures 24, 25 and 26.[1][12]
Abstract
Currently there are four major pharmaceutical companies who manufacture a SARS-CoV-2 now called SARS-CoV-19 vaccine. These manufactures and their vaccine are Pfizer–BioNTech mRNA Vaccine, the Moderna-Lonza mRNA-1273 Vaccine, the Serum Institute Oxford Astrazeneca Vaccine and the Janssen COVID -19 Vaccine, manufactured by Janssen Biotech Inc., a Janssen Pharmaceutical Company of Johnson & Johnson, a recombinant, replication-incompetent adenovirus type 26 expressing the SARS-CoV-2 spike protein.
The intended purpose of these vaccines are to provide immunity from the so-called infectious novel coronavirus or SARS-CoV – 2 virus now called the SARS-CoV – 19. These four pharmaceutical companies have not provided complete FDA disclosure on their vaccine box, insert fact sheet or label for many of the major and/or minor ingredients contained within these so-called vaccines.
The purpose of this research article is to identify those specific major and minor ingredients contained in the Pfizer Vaccine, the Moderna Vaccine, the Astrazeneca Vaccine and the Janssen Vaccine using various scientific anatomical, physiological and functional testing for each SARS-COV-2-19 vaccine.
As a human right, governed under World Law by the Nuremberg Code of 1947, the vaccine specific ingredient information is critical, required and necessary to know so that any human from any country in the World can make an informed decision whether or not to consent to the SAR-CoV-2-19 inoculation. We have conducted the scientific testing on each vaccine and have identified several ingredients or adjuvants that have not been disclosed which are contained in these four SARS-CoV – 2 -19 vaccines.
Currently, these vaccines are being administered to millions of humans around the World under an Emergency Use Authorization (EUA) issued by each country without full disclosure of all ingredients and in some cases mandated by governments or employers in violation of individual human rights under the Nuremberg Code of 1947.
Discussion
The SARS-CoVid-2-19 pandemic induced the pharmaceutical industries to develop new drugs that they called vaccines.
The mechanism of action of these new drugs as declared by the pharmaceutical industry coupled with what is reported in the vaccine products’ data sheet is NOT clear for current medical savants to understand that those new drugs produced by Pfizer–BioNTech mRNA Vaccine, the Moderna-Lonza mRNA-1273 Vaccine, the Serum Institute Oxford Astrazeneca Vaccine and the Janssen COVID -19 Vaccine, manufactured by Janssen Biotech Inc., a Janssen Pharmaceutical Company of Johnson & Johnson are NOT vaccines but nanotechnological drugs working as a genetic therapy.
The name “vaccine” is likely to be an escamotage (trickery) used for bureaucratic and technocratic reasons in order to receive an urgent approval, ignoring all the normal rules necessary for new drugs, especially for those involving novel nanotechnological mechanisms which have never been developed nor experienced by humans anywhere, at any time in the history of World.
All these so-called “vaccines” are patented and therefore their actual content is kept secret even to the buyers, who, of course, are using taxpayers’ money. So, consumers (taxpayers) have no information about what they are receiving in their bodies by inoculation. Humanity is kept in the dark as far as the nano particulate technological processes involved are concerning, on the negative effects on the cells of the body, but mostly on the possible magneticotoxic, cytotoxic and genotoxic nano-bio-interaction effect on the blood and body cells.
This current research study via direct analysis on the aforementioned so-called “vaccines” by means of nano particulate technological instrumentation reveals disturbing and life-altering information concerning the truth about the actual toxic acidic contents of the so-called vaccines.
…
Source/
Australia: ATAGI Temporary medical exemption relevant for COVID-19 vaccines
The Australian Technical Advisory Group on immunixation (ATAGI) expanded guidance on acute major medical conditions that warrant a temporary medical exemption relevant for COVID-19 vaccines
Myocarditis Explosion: Bigger risk to the heart than vaccination
The Covid clot shot has resulted in a stunning increase in myocarditis cases in Germany of 75% and in France of 31%! One of the most common point of conflict concerning COVID-19 vaccines is the risk of myocarditis following immunization, particularly among young people.











